Dr. Manasi Thakur | Gynaecologist In Nagpur | Pregnancy, Delivery | Abortion | Cosmetic Gynecology

Follicular Monitoring | Dr. Manasi Thakur – Zenith Hospital, Nagpur

What is Follicular Monitoring?

Follicular monitoring is the process of performing serial ultrasound scans to track the growth and development of ovarian follicles. It helps identify the maturation status of eggs and document the pathway to ovulation.

This test plays a vital role in IVF assessment and timing and also checks for the presence of follicular cysts in the ovaries.

For women on fertility medication, follicular monitoring is essential to assess the response to treatment and adjust the dosage as needed.

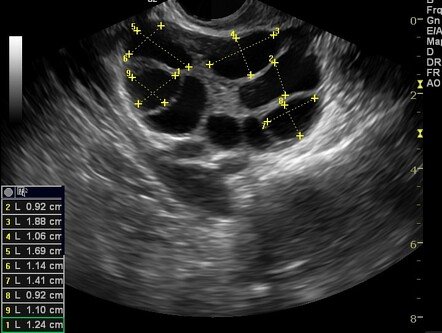
Follicular Monitoring / Ovulation Study (TVS)

What are Follicles?

Ovarian follicles are small, fluid-filled sacs inside a woman’s ovaries. They:

  • Contain immature eggs (oocytes).

  • Secrete estrogen needed for egg maturation.

  • Play a key role in regulating the menstrual cycle and fertility.

How is Follicular Monitoring Done?

  • Monitoring begins on day 2 or 3 of the menstrual cycle.

  • Follicles are measured in 2D or 3D through ultrasound.

  • Once the follicle reaches about 16 mm, it grows approximately 2 mm per day.

  • When the follicle size reaches 19–20 mm, an HCG injection is given to trigger ovulation.

What Happens to Follicles During IVF?

After the HCG injection, egg retrieval is scheduled about 36 hours later. This ensures collection of the best possible mature eggs, which are then fertilized with sperm in the laboratory to create embryos.

Summary

Follicular monitoring is an essential step for couples trying to conceive, especially during fertility treatments like IVF. It requires multiple scans during a woman’s menstrual cycle but provides valuable insights into ovulation and egg quality.

At Zenith Hospital, Nagpur, Dr. Manasi Thakur emphasizes that while the process can sometimes feel stressful, maintaining patience and a positive attitude can significantly support successful outcomes in fertility treatments.

Call Now Button