Dr. Manasi Thakur | Gynaecologist In Nagpur | Pregnancy, Delivery | Abortion | Cosmetic Gynecology

Fetal Diagnosis in Nagpur | Fetal Wellbeing Scan at Zenith Hospital

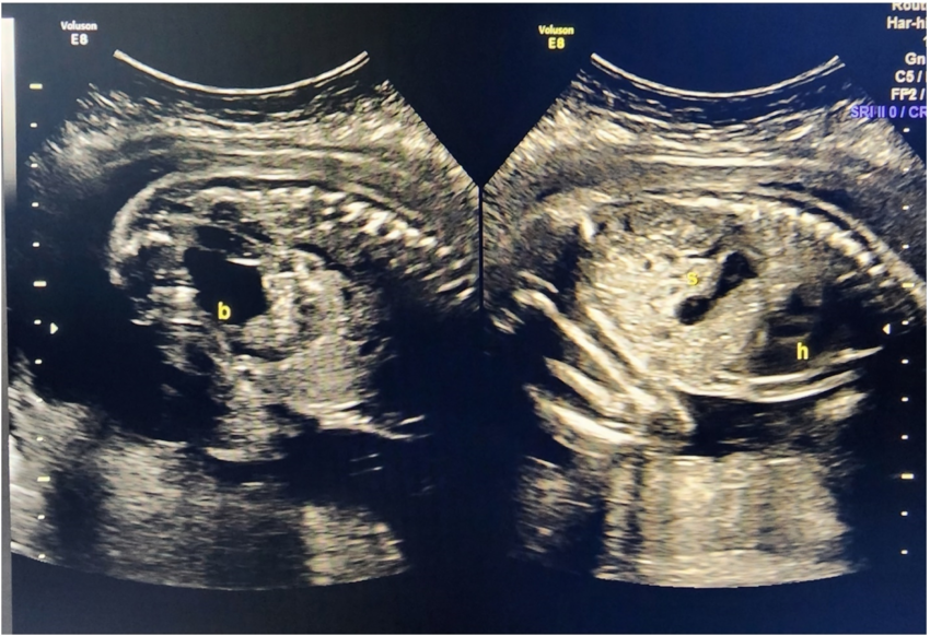
The Fetal Wellbeing Scan is performed to assess:

  • The size and growth of the baby

  • The amniotic fluid surrounding the baby

  • Placental resistance to blood flow

  • The baby’s overall state of health

This scan is usually done around 32 weeks of pregnancy and is recommended for all expecting mothers.

Growth Scans for Fetal Well Being

Why is the Fetal Wellbeing Scan Important?

  • Helps evaluate fetal movements and activity

  • Provides information about the baby’s condition inside the womb

  • Allows doctors to recommend rest, treatment, or lifestyle changes depending on the baby’s needs

  • Ensures better monitoring in high-risk pregnancies

Fetal Wellbeing Scan at Zenith Hospital, Nagpur

At Zenith Hospital, Nagpur, Dr. Manasi Thakur offers advanced Fetal Wellbeing Scans using the latest ultrasound technology. The results help guide mothers on the right precautions and care to ensure a healthy pregnancy and baby development.
Call Now Button