Dr. Manasi Thakur | Gynaecologist In Nagpur | Pregnancy, Delivery | Abortion | Cosmetic Gynecology

What is the NT NB Scan?

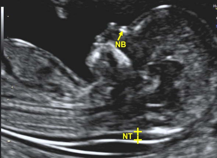
An NT (Nuchal Translucency) scan is a prenatal ultrasound screening done to detect chromosomal abnormalities such as Down syndrome in a fetus. The NB (Nasal Bone) test is an integral part of this screening.
During the scan, doctors measure the fluid-filled space behind the fetus’s neck (nuchal translucency or nuchal fold) and assess its thickness. The test also checks whether the fetus has developed a nasal bone.
NTNB Scan (11- 13+6 weeks)

When is the NT NB Scan Performed?

The scan is usually performed during the first trimester, between 11 to 13 weeks of pregnancy, since the clear space behind the baby’s neck begins to disappear after 15 weeks.

Why is the NT NB Scan Important?

The NT NB scan helps in:

  • Detecting chromosomal abnormalities like Down syndrome

  • Identifying structural abnormalities such as spina bifida

  • Providing a more accurate estimated delivery date

  • Early diagnosis of pregnancy failure risks

  • Confirming multiple fetuses (twins, triplets, etc.)

Doctors usually recommend the NT NB scan along with a blood test during the first trimester for more reliable results.

NT NB Scan at Zenith Hospital, Nagpur

At Zenith Hospital, Nagpur, Dr. Manasi Thakur emphasizes the importance of the NT NB scan as part of early pregnancy care. The procedure is safe and painless, though you may feel slight pressure on the abdomen during the scan to obtain a clear picture.

This test plays a crucial role in measuring the nuchal translucency at the back of your baby’s neck and assessing overall fetal health in the early weeks of pregnancy.

Call Now Button