Dr. Manasi Thakur | Gynaecologist In Nagpur | Pregnancy, Delivery | Abortion | Cosmetic Gynecology

What is a Missed Miscarriage?

A missed miscarriage (also called missed abortion or silent miscarriage) occurs when the fetus has died but the body does not recognize the pregnancy loss or expel the pregnancy tissue. As a result, the fetus remains inside the uterus for a variable period.

Since the placenta may continue to release pregnancy hormones, you may still experience pregnancy symptoms. This condition is also referred to as early fetal demise.

Causes of Missed Miscarriage

The majority (about 50%) of early miscarriages are due to chromosomal abnormalities in the fetus. Other possible causes include:

  • Structural abnormalities of the uterus

  • Endocrine disorders (hormonal imbalance)

  • Infections

Missed Miscarriages

Signs of Missed Miscarriage

Unlike a typical miscarriage, there are often no heavy bleeding or severe cramps. Instead, signs may include:

  • Persistent brownish vaginal discharge

  • Loss of pregnancy symptoms

  • Regression of breast changes

  • Stopped uterine growth (sometimes even smaller than expected)

How is Missed Miscarriage Diagnosed?

At Zenith Hospital, Nagpur, under the care of Dr. Manasi Thakur, missed miscarriage is diagnosed through:

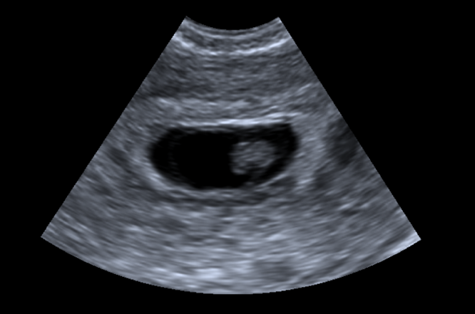
  • Ultrasound: Absence of fetal heartbeat or movements, or an empty gestational sac in early pregnancy.

  • Doppler test: No fetal heart sound even if it was audible earlier.

  • Pregnancy test: Immunological test for pregnancy may turn negative.

Management of Missed Miscarriage

If the uterus is less than 12 weeks:

  • Many women may expel the fetus spontaneously.

  • Medical management: Misoprostol (Prostaglandin E1) 800 µg given vaginally, usually expels the pregnancy within 48 hours.

  • Surgical management: Suction evacuation or dilatation and evacuation (D&E) if medical management fails or as a definitive treatment.

If the uterus is more than 12 weeks:

  • Misoprostol (Prostaglandin E1 analog): 200 µg tablet inserted vaginally.

  • Oxytocin infusion: 10–20 units in 500 mL normal saline at 30 drops/min. If needed, the dose may be gradually increased up to a maximum of 200 mIU/min under close monitoring.

Expert Care in Nagpur

At Zenith Hospital, Nagpur, Dr. Manasi Thakur provides advanced and compassionate care for women experiencing missed miscarriage. With timely diagnosis, appropriate medical or surgical management, and emotional support, patients receive complete care to protect their health and future fertility.
Call Now Button